BGS mineralogy and petrology collection record

Sample number E48843; COLLNOKS1496;
Sample Donor Siddiqui,K.S.
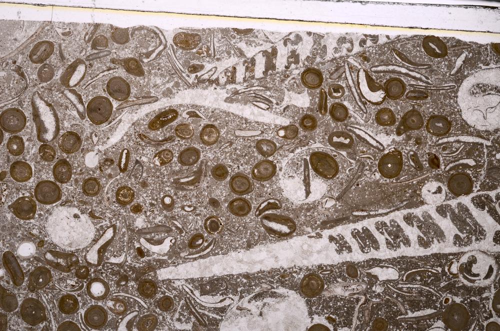
Rock name 'Original entry: Limestone'
Stratigraphy Not entered
Comments Malton Oolite. U. Oxfordian
Locality details 0.8 Km 45 deg W of Welham Fm. Norton
50k map sheet York (63)

View images in GeoScenic related to 'York'

View the geology near 'York'

Map reference SE 7923 6978
Year collected Not entered 
Bore name Not applicable
Confidentiality No restrictions

Petrological thin sections

Links to high resolution images

Transition from XPL to PPL light


E48843

Cross Polarized, E48843

Plane Polarized, E48843

Plane Polarized, E48843