BGS mineralogy and petrology collection record

Sample number E16126; COLLNOM85-152;
Sample Donor B.R.S. (aka. S.R.B.?)
Rock name 'Original entry: Dolomitic Limestone'
Stratigraphy Not entered
Comments Not entered
Locality details Little plantation Catterick
50k map sheet Richmond (41)

View images in GeoScenic related to 'Richmond'

View the geology near 'Richmond'

Map reference SE 238 967
Year collected Not entered 
Bore name Not applicable
Confidentiality No restrictions

Petrological thin sections

Links to high resolution images

Transition from XPL to PPL light


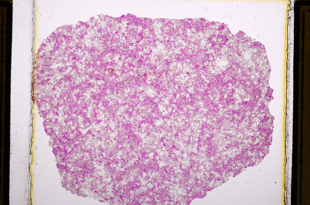
E16126

Cross Polarized, E16126

Plane Polarized, E16126

Plane Polarized, E16126