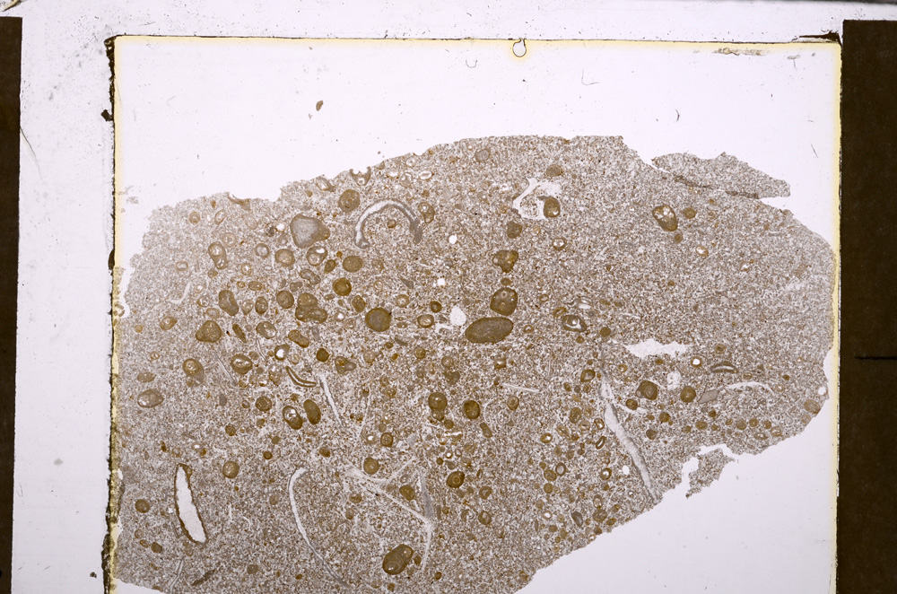
BGS mineralogy and petrology collection record

Sample number E28985; MR22116; COLLNO139;
Sample Donor Road Research Laboratory
Rock name 'Original entry: Oolitic Limestone'
Stratigraphy Not entered
Comments Not entered
Locality details Leadenham Stone Qy., Leadenham
50k map sheet Grantham (127)

View images in GeoScenic related to 'Grantham'

View the geology near 'Grantham'

Map reference SK 962 523
Year collected Not entered 
Bore name Not applicable
Confidentiality No restrictions

Petrological thin sections

Links to high resolution images

Transition from XPL to PPL light


E28985

Cross Polarized, E28985

Plane Polarized, E28985

Plane Polarized, E28985